临床科研

持续自主研发为动力

专家诠释

上海交通大学医学院附属仁济医院泌尿科董柏君

1手术流程与布针原则

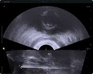
(1)全麻后置入超声探头,横断/矢状面观察前列腺位置大小,并每5mm截图保留;



(2)根据前列腺大小选择电极针,超声引导下进针,针间距0.5~2cm;



(3)测量、记录、输入针间距,系统自动生成治疗参数,执行消融治疗;



(4)完成升压后,踩脚踏开关,释放脉冲到病灶并观察实时电流;



(5)每组脉冲约 5min,完成后生成治疗报告,结束后每5mm截图;



(6)拔出电极针并按压 1min,尿道注入碘伏后留置导尿管。


2 手术视频